

Somatic cells arise from the zygote and the totipotent cells present in the early embryo. Understanding somatic cells plays a crucial role in biology and healthcare. Researchers have used this knowledge to advance medical science in several ways:
- The creation of induced pluripotent stem cells (iPSCs) tailors treatments to individual patients.
- iPSCs help model diseases for targeted therapies.
- Differentiation of iPSCs supports regenerative medicine and drug discovery.
A somatic cell count tester gives scientists and clinicians a valuable tool for monitoring cell health in various tissues.
Key Takeaways
- Somatic cells originate from the zygote, which is formed when a sperm cell fertilizes an egg. This single cell divides to create all the somatic cells in the body.
- Understanding somatic cells is crucial for advancements in medicine, including the development of personalized treatments and regenerative therapies using induced pluripotent stem cells (iPSCs).
- Mitosis is the process that allows somatic cells to grow and repair tissues. It ensures that each new cell has the same genetic information, maintaining stability across generations.
- Somatic mutations can accumulate over time, affecting tissue function and increasing the risk of diseases like cancer. Monitoring these mutations helps in early disease detection.
- Regular testing of somatic cell counts in milk can indicate udder health in dairy farming, allowing for early intervention and improved animal welfare.
Somatic Cells Overview
Definition
Scientists define somatic cells as the main building blocks of the body, excluding reproductive cells. These cells make up most tissues and organs, supporting growth, repair, and daily function. Leading biology textbooks provide clear definitions:
| Source | Definition |
|---|---|
| ScienceDirect | Somatic cells are defined as the differentiated cells in the adult animal body that possess their own copies of the genome, excluding red blood cells, and represent the most abundant cell type compared to germ and stem cells. |
| SpringerLink | Any cell in an organism that is not a reproductive cell. Somatic cells are the cells of an organism that are not germ or stem cells. Somatic cells, germ cells, and stem cells have the same number of chromosomes. Somatic cells use mitosis as a method of cell division, while germ cells produce gametes after meiosis, usually in specialized reproductive structures or organs. |
Note: Somatic cells share the same genetic information as germ and stem cells, but they do not participate in sexual reproduction.
Key Features
Somatic cells display several unique characteristics that set them apart from other cell types:
- They contain a diploid set of chromosomes. In humans, this means 46 chromosomes, with one set inherited from each parent.
- These cells divide by mitosis, which helps maintain genetic stability across generations of cells.
- Somatic cells form the structure and function of tissues and organs throughout the body, except for those involved in producing gametes.
- Different types of somatic cells include:
- Bone cells, such as osteoblasts and osteoclasts, which regenerate bone tissue.
- Muscle cells, including smooth, cardiac, and skeletal muscle, which support movement and contraction.
- Nerve cells, or neurons, which transmit signals in the brain and spinal cord.
Researchers have discovered that somatic cells can evolve through mutation and selection during an organism’s life. This process can affect the stability and function of tissues. Scientists also study somatic stem cells, which can renew themselves and produce specialized cell types. These stem cells play a key role in tissue repair and regeneration.
Recent advances in molecular biology have revealed how somatic cells can change their identity. For example, induced pluripotent stem cell (iPSC) technology allows scientists to reprogram somatic cells back to a pluripotent state. This process involves changes in gene expression, energy metabolism, and the activation of specific regulatory networks. Factors such as Klf4 and Nanog help guide this transformation, showing the remarkable flexibility of somatic cells.
Origin
Zygote and Totipotent Cells
The journey of somatic cells begins at fertilization. A sperm cell fuses with an egg cell, forming a zygote. This single cell contains all the genetic information needed for the development of a complete organism. The zygote acts as the foundation for every cell in the body, including all somatic cells.
The zygote holds a full set of genetic instructions. As it divides, each new cell receives identical genetic information, ensuring uniformity across all somatic cells.
Totipotent cells emerge in the early embryo. These cells possess the remarkable ability to generate every cell type found in the organism. Scientists have shown that totipotent stem cells can form an entire embryo. Their unique transcriptional and epigenetic networks allow them to produce both somatic and germ cells. This capacity makes totipotent cells the true origin of all somatic cells.
- Embryogenesis starts with the zygote.
- The process involves organized cell division, enlargement, and differentiation.
- The zygote initiates cellular transformations that lead to a fully developed human being.
- All somatic cells inherit identical genetic information from the zygote.
Embryonic Development
Embryonic development transforms the zygote into a complex organism. This process unfolds through several stages, each contributing to the formation of somatic cells.
| Key Stage of Gastrulation | Contribution to Somatic Stem Cells |
|---|---|
| Pre-gastrulation Models | Enable research on early lineage specification and embryo-maternal interactions. |
| Gastrulation Models | Provide insights into cell differentiation, signaling pathways, and tissue organization during germ layer formation. |
| Post-gastrulation Models | Offer opportunities for studying segmentation and neural tube formation, relevant for somatic stem cell development. |
During gastrulation, the embryo organizes into three primary germ layers: ectoderm, mesoderm, and endoderm. Each layer gives rise to distinct somatic cell lineages. For example, the ectoderm forms skin and nervous tissue, the mesoderm produces muscle and bone, and the endoderm creates internal organs. Researchers use lineage tracing to follow the origins of specific tissues, such as bipotential gonads, which share developmental pathways with adrenal glands and kidneys.
| Key Concepts | Description |
|---|---|
| Differentiation Process | Specialized cells arise from a common stem cell through a series of cellular changes driven by specific gene expression patterns. |
| Induced Pluripotent Stem Cells | Somatic cells can be reprogrammed to a pluripotent state, exhibiting functional similarities to embryonic stem cells, which is crucial for understanding developmental biology. |
Epigenetic mechanisms play a vital role in regulating gene expression during embryonic development. These mechanisms maintain cell plasticity and identity, guiding embryonic stem cells as they differentiate into somatic cells. Recent research has mapped the genetic and epigenetic processes that control cell fate, revealing how somatic cells acquire their specialized functions.
- The human body consists of trillions of somatic cells, all originating from a single zygote.
- The zygote passes identical genetic information to each new cell.
- This process ensures that all somatic cells share the same genetic identity.
Experimental studies in plants, such as Cyathea delgadii, demonstrate that somatic embryos can originate from single cells. These findings highlight the universal principles of somatic cell formation across different species.
Scientists continue to explore how genetic and epigenetic factors shape the development of somatic cells. Their discoveries deepen our understanding of human biology and disease.
Formation
Mitosis
Mitosis drives the formation and maintenance of somatic cells throughout life. This process allows organisms to grow, heal wounds, and replace damaged cells. Cells divide continuously, ensuring that tissues remain functional and healthy. Mitosis also plays a role in asexual reproduction for certain species.
- Mitosis supports growth by increasing cell numbers.
- It replaces cells lost to apoptosis, maintaining tissue integrity.
- In some organisms, mitosis enables population maintenance.
Errors during mitosis can cause serious genetic conditions. Monosomies and trisomies result from mistakes in chromosome separation. These errors may lead to cancer or, during embryonic development, miscarriage or stillbirth.
Mitosis ensures that each new cell receives a complete set of genetic instructions, preserving the identity of somatic cells.
Differentiation
Differentiation transforms unspecialized cells into specialized types. This process involves changes in gene expression, allowing each cell to perform unique functions. Gene regulatory networks control which genes become active, guiding cells toward specific roles.
- Cells transition from one type to another, changing their gene expression patterns.
- Each specialized cell expresses a unique set of genes, defining its function.
- Regulatory networks orchestrate the specialization process.
Cellular differentiation creates the diversity needed for tissues and organs. It enables functions such as sensation, secretion, and absorption.
- Differentiation leads to the formation of specialized cells, tissues, and organs.
- It allows multicellular organisms to develop a wide range of cellular roles.
Stem Cells
Stem cells serve as the foundation for generating new somatic cells in adult tissues. Several types contribute to this process:
- Hematopoietic stem cells produce blood cells.
- Mesenchymal stem cells generate bone, cartilage, and fat cells.
- Neural stem cells form neurons and glial cells.
- Epithelial stem cells maintain the lining of organs.
- Skin stem cells renew the skin’s surface.
These stem cells ensure that tissues can repair themselves and adapt to changing needs. They play a vital role in maintaining the health and function of somatic tissues.
Somatic Cells in the Body
Tissue Distribution
Somatic cells make up almost every part of the human body. These body cells form the tissues and organs that allow the body to function. Each tissue contains a unique set of somatic cells, which perform specialized roles. For example, muscle tissue contains muscle fibers that contract and relax, while nerve tissue includes neurons that send signals throughout the body.
- Skin contains keratinocytes and melanocytes.
- Blood includes red and white blood cells.
- Bone tissue has osteoblasts and osteoclasts.
- The liver contains hepatocytes.
- The brain holds neurons and glial cells.
Researchers have found that somatic cells show significant genomic variation between different tissues within the same person. In fact, about 79% of genomic changes between tissues affect genes. This means that somatic cells in one tissue can have different characteristics from those in another tissue. All somatic cells contain a complete genome, and scientists can even transform them into pluripotent cells using genetic engineering.
Note: The diversity of somatic cells across tissues supports the wide range of functions needed for life.
Exclusions

Not every cell in the body belongs to the somatic category. Germ cells stand apart because they play a special role in reproduction. These cells include sperm and oocytes. Germ cells maintain genetic integrity and undergo meiosis, which produces haploid cells for sexual reproduction.
- Germ cells do not count as somatic cells.
- They have unique properties, such as global epigenetic reprogramming.
- Germ cells can revert to a diploid state after fertilization.
Somatic cells, in contrast, do not participate in reproduction. They focus on building and maintaining the body’s structure and function.
Somatic Cells vs Germ Cells
Differences
Somatic cells and germ cells show clear differences in structure and function. Somatic cells make up the tissues and organs of the body, while germ cells play a role in reproduction. The following table highlights the main features that set these cell types apart:
| Feature | Somatic Cells | Germ Cells |
|---|---|---|
| Chromosome Number | Diploid (two sets of chromosomes) | Haploid (one set of chromosomes) |
| Function | Development, growth, repair, and function | Reproduction (give rise to sperm and egg cells) |
| Replication Method | Mitosis (producing genetically identical cells) | Meiosis (halving chromosome number) |
| Mutation Inheritance | Not inherited by offspring | Can be inherited by offspring |
| Examples | Muscle cells, nerve cells, skin cells | Sperm and egg cells |
Somatic cells divide by mitosis, which keeps the genetic material stable. Germ cells use meiosis, reducing the chromosome number by half. This difference ensures that offspring receive the correct amount of genetic information. Mutations in somatic cells do not pass to the next generation, but mutations in germ cells can affect future offspring.
Genetic Role
Germ cells and somatic cells have distinct roles in reproduction and inheritance. Germ cells transfer genetic information to the next generation. Somatic cells build the body and do not contribute to genetic inheritance. The table below summarizes these roles:
| Cell Type | Role in Reproduction and Inheritance |
|---|---|
| Germ Cells | Responsible for transferring genetic information to offspring. |
| Somatic Cells | Make up the body and do not contribute to genetic inheritance. |
- Germ cells act as reproductive cells, passing on half of the genetic material from each parent.
- Somatic cells include those that form hair, eyes, and organs.
- Mutations in germ cells may cause inherited genetic disorders in offspring.
Germ cells ensure the continuation of genetic traits, while somatic cells maintain the structure and function of the organism.
Somatic Mutations and Cell Health
Impact on Tissues
Somatic mutations play a significant role in tissue function and disease development. These genetic changes occur in somatic cells after fertilization. Over time, mutations accumulate, leading to genetic diversity within tissues. Some mutations affect cancer-related genes, but not every mutation causes cancer. Researchers study how mutant clones expand and what triggers their transformation into malignant cells. Understanding these processes helps prevent cancer and other diseases.
| Evidence | Description |
|---|---|
| Somatic mutations accumulate over time | This leads to genetic heterogeneity within tissues, increasing cancer risk. |
| Mechanisms of somatic mutations | They can affect cellular functions and contribute to diseases, including neurodegenerative disorders. |
| Age-related mutation burden | Mutation rates vary by tissue type, with rapidly dividing cells accumulating mutations more easily. |
| Cancer risk and age | Cancer risk increases exponentially with age due to repeated cycles of somatic mutation and selection. |
| Functional impact of mutations | High mutation burden can destabilize gene regulatory networks, affecting cell function. |
Researchers have identified several common mutation signatures in human tissues. For example, SBS1 and SBS5 are linked to aging, SBS7 to UV light exposure in skin, and SBS4 to tobacco smoke in the lungs. These signatures help scientists understand how environmental factors and lifestyle choices influence mutation rates.
- Somatic mutations in normal tissues often involve cancer-related genes.
- Clonal expansion may occur, but not all mutant clones become cancerous.
- Tissue architecture and environmental exposure influence mutation rates.
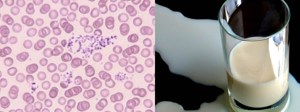
Somatic Cell Count Tester
The somatic cell count tester serves as a valuable diagnostic tool in clinical and research settings. In dairy farming, scientists use this device to assess udder health by measuring the number of somatic cells in milk. High somatic cell counts often indicate infection, such as subclinical mastitis. Direct microscopic methods and automated electronic counters provide quick results, allowing for early detection and treatment.
Researchers highlight several advantages of regular somatic cell count testing:
- Early detection of mastitis enables timely intervention.
- Immediate on-site results save time compared to laboratory analysis.
- Routine monitoring improves milk quality and animal welfare.
- Cost savings arise from reduced veterinary expenses and increased production.
However, some limitations exist. Direct detection methods require specialized operators and can be expensive. Indirect methods may lack sensitivity, leading to inaccurate results. Certain tests do not distinguish between somatic and bacterial cells, complicating diagnosis.
Recent studies emphasize the importance of monitoring somatic cell counts for disease prevention. Elevated counts signal microbial contamination and inflammation, which can negatively affect milk composition. Regular testing supports herd health and helps prevent the spread of infection.

Conclusion
The journey of somatic cells begins with fertilization, where the zygote forms as the first totipotent cell. Early divisions produce blastomeres that retain totipotency until differentiation starts. Somatic cells build the body, while germ cells pass genetic traits to offspring. Somatic mutations, influenced by environment and lifestyle, shape disease risk. Advances in somatic cell count testing help researchers and clinicians track cell health, supporting progress in biomedical science.
FAQ
What Are Somatic Cells Responsible for in the Body?
Somatic cells build and maintain tissues and organs. They support growth, repair injuries, and replace old or damaged cells. These cells do not participate in reproduction. Each type of somatic cell performs a unique function that helps the body work properly.
How Do Somatic Cells Differ from Germ Cells?
Somatic cells make up most of the body, while germ cells produce sperm or eggs. Somatic cells divide by mitosis and do not pass genetic changes to offspring. Germ cells divide by meiosis and transfer genetic information to the next generation.
Can Somatic Cells Become Other Cell Types?
Some somatic cells, called stem cells, can become different specialized cells. Scientists can also reprogram regular somatic cells into pluripotent stem cells. This process helps researchers study diseases and develop new treatments.
Do Somatic Mutations Affect Health?
Somatic mutations can change how cells work. Some mutations cause diseases, including cancer. Not every mutation leads to illness. Doctors and scientists use tests to monitor somatic cell health and detect problems early.
What Causes Cancer in Somatic Cells?
Cancer develops when somatic cells gain mutations that disrupt normal growth control. These mutations may result from environmental factors, aging, or random errors during cell division. Uncontrolled cell growth forms tumors and can spread to other tissues.